INITIALIZING SYSTEM...

The Operating
System for
Bone.

We're not building a tool. We're building the infrastructure for the future of orthopedic surgery. 3D reconstruction is just the beginning.

Initialize Sequence

Surgical
Grade

One X-ray. Full 3D anatomy. Sub-millimeter accuracy from a single standard radiograph — the foundation everything else is built on.

What Comes Next
Changes Everything

3D reconstruction is our entry point — not our ceiling. Every bone we reconstruct becomes a launchpad for surgical intelligence.

01

Stress Analysis

Real-time FEA simulation on patient-specific anatomy. Not approximations — your actual bone.

02

Implant Intelligence

Automated implant sizing, fit scoring, and placement optimization. Every implant, every patient.

03

Pre-Op Planning

Simulate the surgery before you cut. Osteotomy guides, alignment targets, outcome prediction.

BoneVision Platform — 3D Reconstruction Viewer
Low
High
Vertices: 3,974 Faces: 7,998 Error: 0.83mm
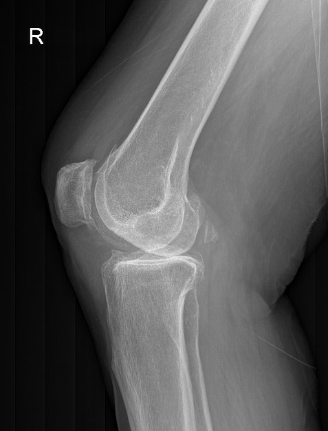
AP
Patient
Patient X
Right Knee • Female • Age 64
Input Radiographs
AP AP
LAT LAT
Reconstruction Metrics
0.83mm
Mean Error
0.61mm
Hausdorff-95
12/12
Folds Used
4.2s
Inference
Actions
Export OBJ
Implant Fitting
Generate Report
Share with Team
The Roadmap

Reconstruction is
Day One.

Every feature we ship makes the last one more powerful. One X-ray becomes a 3D model becomes a surgical plan becomes a better outcome. This is the stack.

2025
3D Reconstruction
X-ray to sub-millimeter 3D bone models. Live now.
Shipping

The future of
orthopedics is
computational.

We're building the operating system that turns every X-ray into a surgical advantage. Request early access to join our closed beta.

Research partnership with UHealth — University of Miami Health System
SCROLL TO ANALYZE